Diseño de Sonrisa (DSD)
Somos Alzamora Dental, una clínica de referencia en Rubí especializada en Diseño Digital de Sonrisa (DSD). Combinamos experiencia clínica, tecnología avanzada y un enfoque totalmente personalizado para planificar y desarrollar sonrisas con precisión, estética y naturalidad. La planificación de los tratamientos está liderada por el Dr. Oriol Rojo, con formación avanzada y acreditación como Super Experto Digital, lo que nos permite ofrecer resultados altamente predecibles, adaptados a la fisonomía y necesidades de cada paciente. El diseño final se materializa mediante carillas de cerámica de alta estética, un tratamiento que nos permite lograr sonrisas naturales, duraderas y armónicas, respetando siempre la salud dental y la esencia de cada persona.
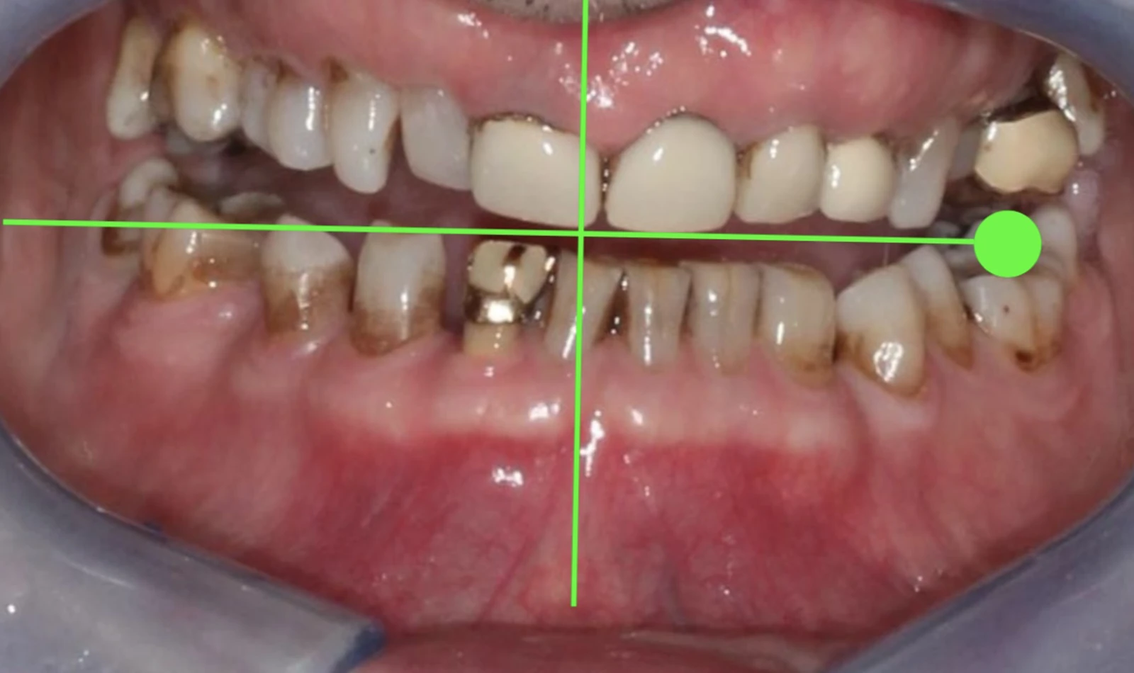
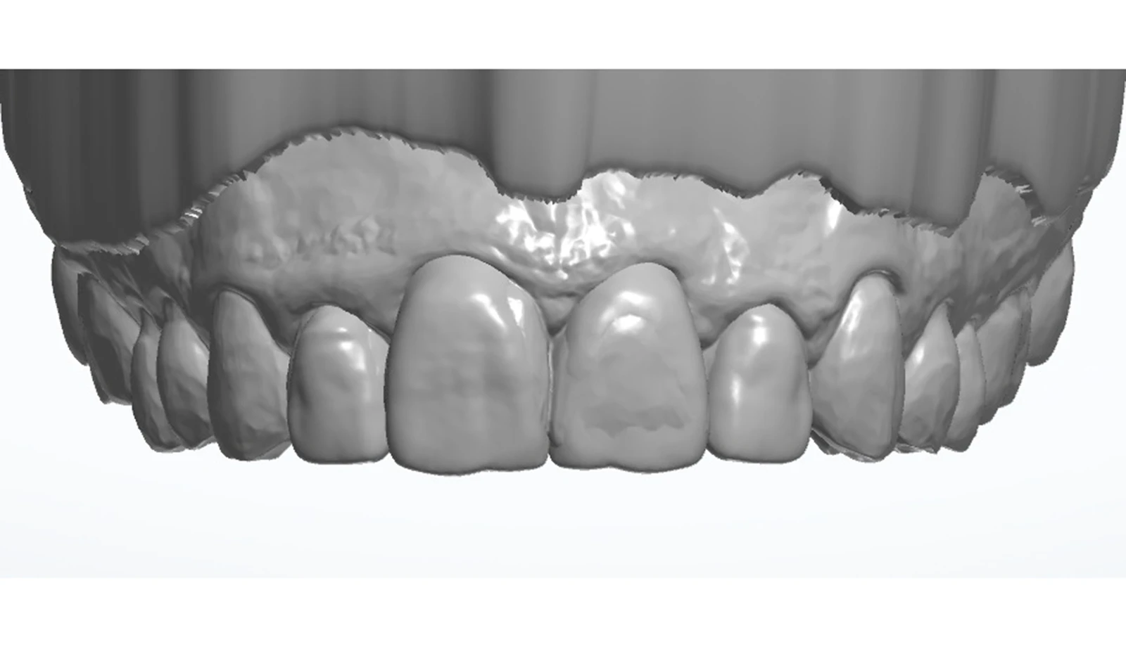
Para cada paciente realizamos un estudio individualizado, que incluye
✅ Registro profesional de fotografías y videos para analizar la estética facial y la dinámica de la sonrisa ✅ Escaneado intraoral de alta precisión, del que obtenemos un modelo 3D exacto de la boca ✅ Diseño digital de la forma, tamaño y color ideales de los dientes, con el objetivo de lograr armonía facial y funcional

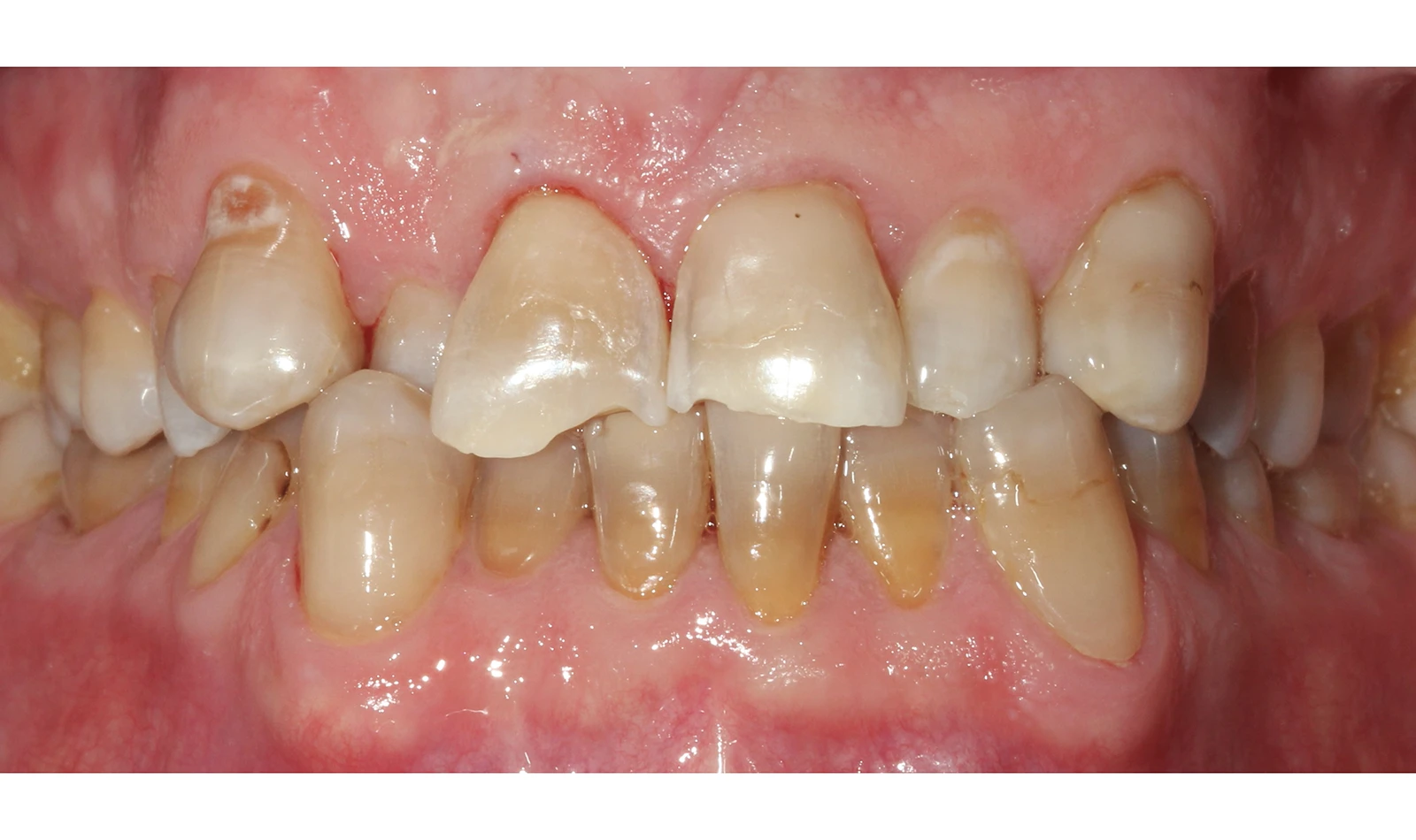
CASOS REALES
Paciente #1:
Paciente #2:
Paciente #3:
Paciente #4:
Paciente #5:
Paciente #6:
Paciente #7:
Paciente #8:
Agenda tu valoración y descubre cómo diseñamos tu sonrisa ideal gracias a la planificación digital.
*Las imágenes mostradas corresponden a casos reales tratados en nuestra clínica. *Los resultados de los tratamientos de Diseño Digital de Sonrisa pueden variar según las características de cada paciente, el diagnóstico y el plan de tratamiento. *Las imágenes de antes y después no constituyen una garantía de resultados. *La planificación digital es una herramienta de ayuda diagnóstica y de comunicación, y el resultado final depende de la ejecución clínica y de factores biológicos individuales. *La indicación del tratamiento se realiza siempre tras una valoración clínica personalizada.
Conoce otras técnicas:
Implantes + dientes provisionales fijos en 1 día
Cirugía guiada y carga inmediata, una técnica avanzada que permite colocar implantes dentales junto a una prótesis provisional en un solo día, siempre que el caso lo permita.
Más info
Ácido hialurónico e Inductores de Colágeno para la armonización orofacial
Armonización orofacial, donde trabajamos el equilibrio natural entre la sonrisa y el rostro desde una perspectiva médica y personalizada..
Más info