Implantes + dientes provisionales fijos en 1 día
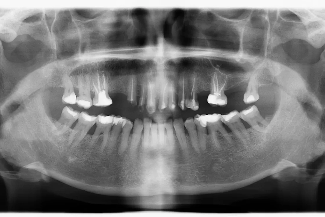
Somos Alzamora Dental, una clínica de referencia en Rubí especializada en cirugía guiada y carga inmediata, una técnica avanzada que permite colocar implantes dentales junto a una prótesis provisional en un solo día, siempre que el caso lo permita. Gracias a la planificación digital en 3D y al uso de una guía quirúrgica personalizada, la intervención es más precisa y mínimamente invasiva. Esto se traduce en menos tiempo de cirugía, menores molestias postoperatorias y una recuperación más rápida, con un resultado estético inmediato y altamente predecible.
Ventajas de la cirugía guiada digital
✅ Precisión milimétrica en la colocación tridimensional ✅ Menor inflamación y recuperación postoperatoria más rápida ✅ Sonrisa funcional desde el primer día

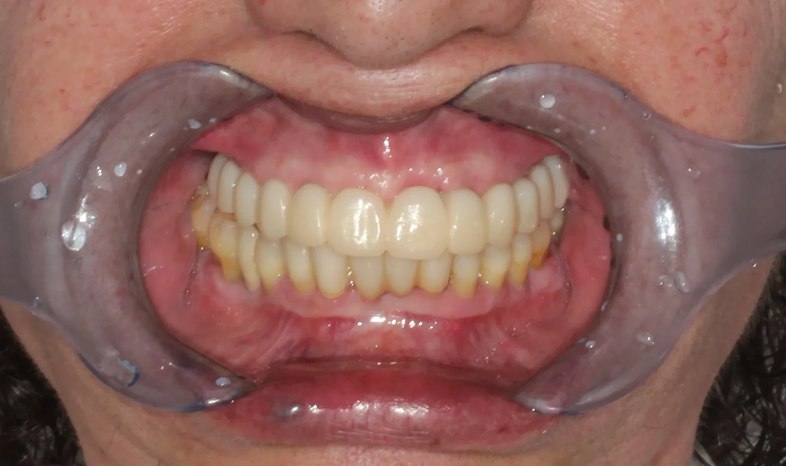
CASOS REALES
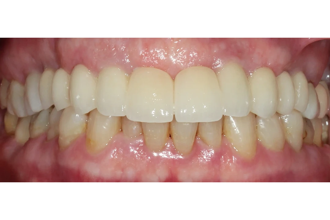
Paciente #1:
Paciente de 60 años, sufría porque sus dientes se movían y temía perderlos todos, pero gracias a la cirugía guiada y la técnica de carga inmediata, en un solo día Merche recuperó una sonrisa fija y natural. Volvió a comer, hablar y sonreír con mayor comodidad desde el primer momento.
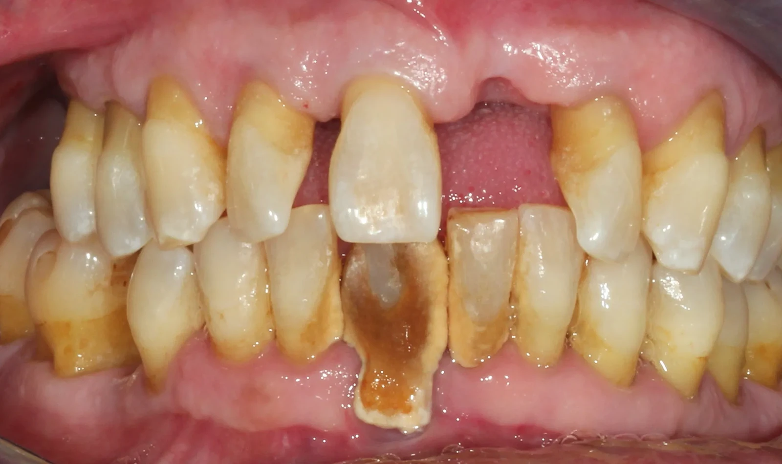
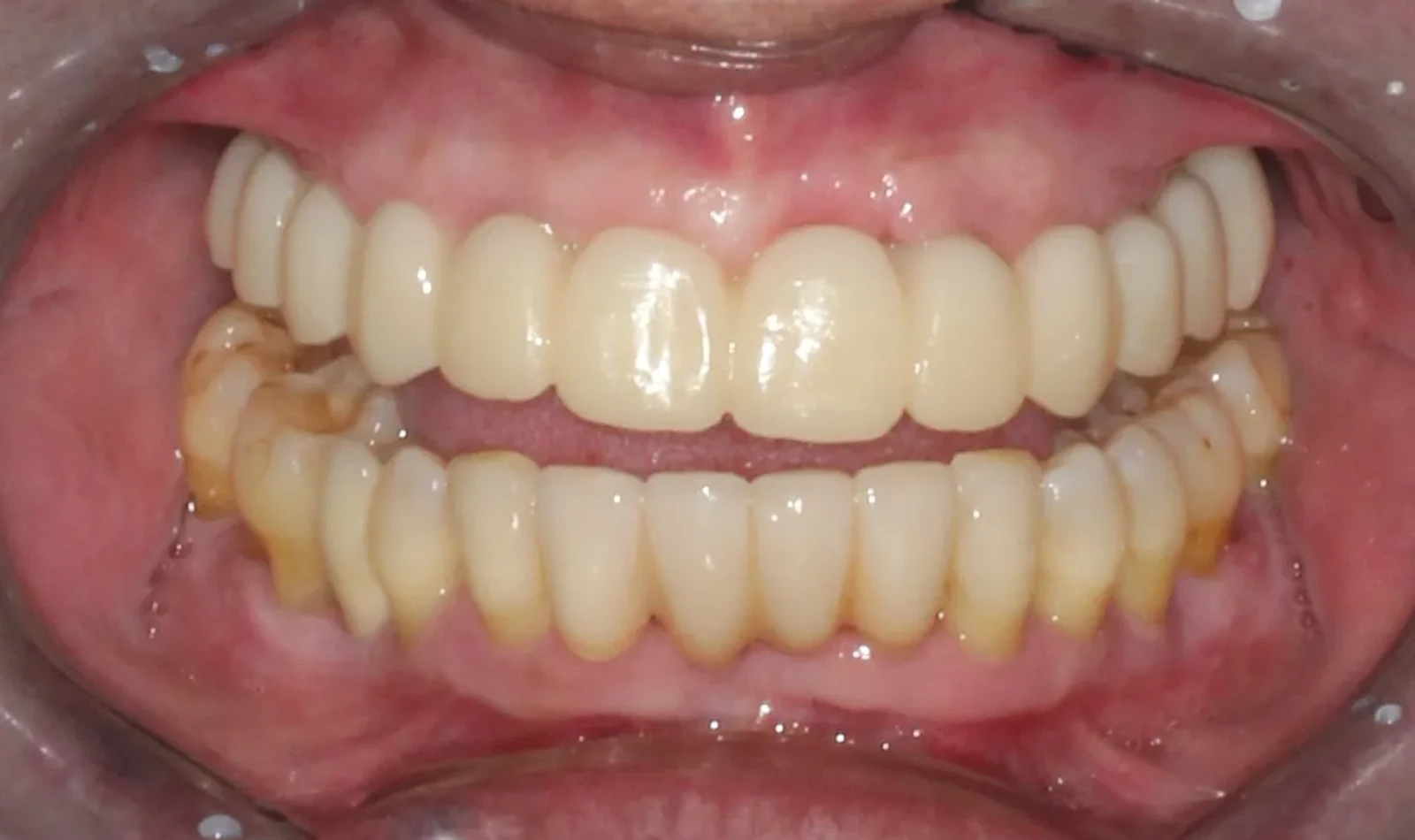
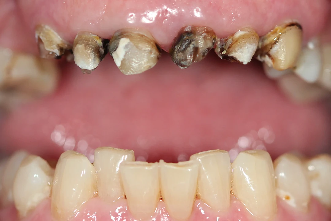
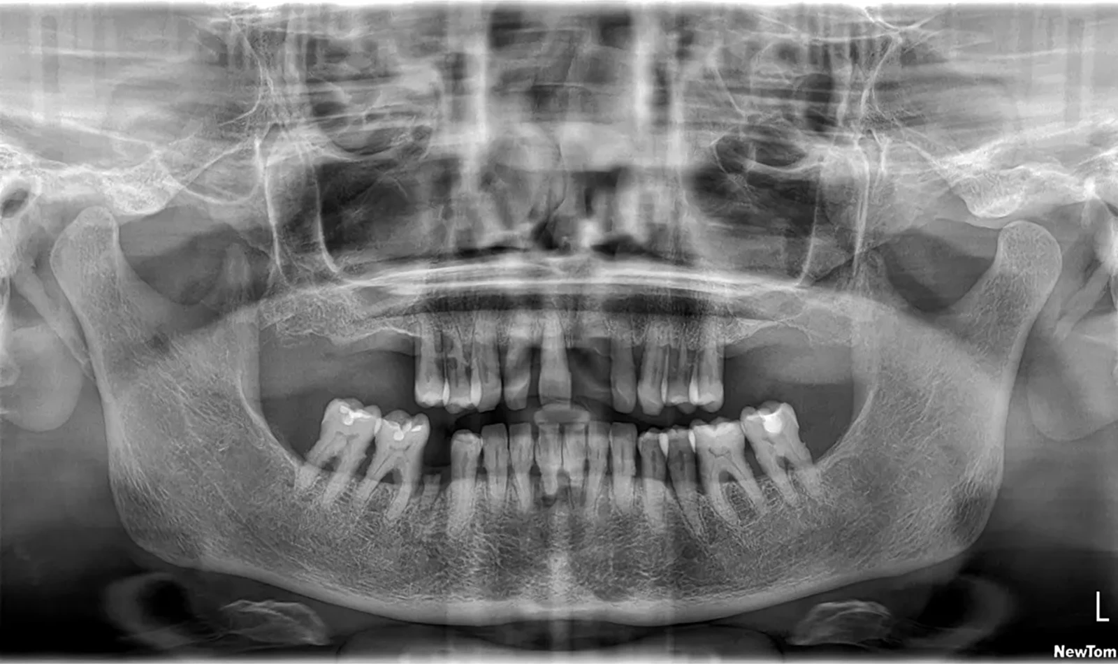
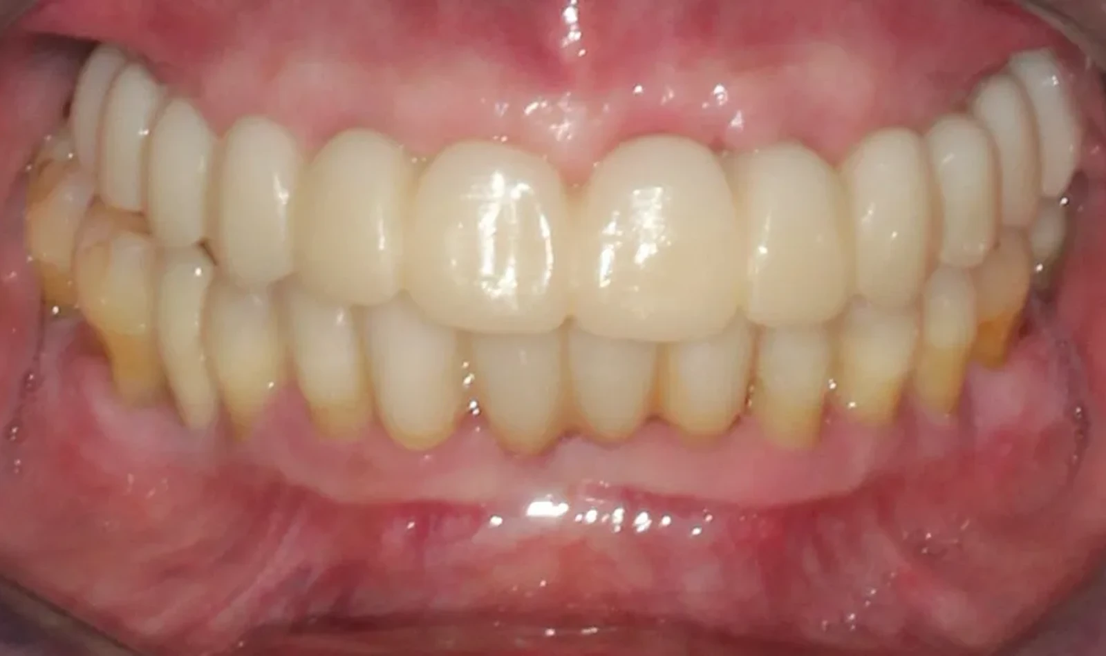
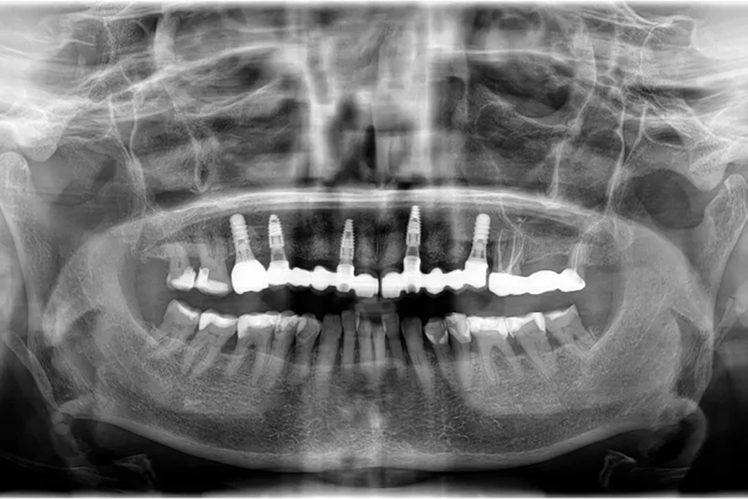
Paciente #2:
De 61 años nos visita con dientes dañados por caries y una prótesis antigua que ya no podía utilizar. Gracias a la planificación digital y la cirugía guiada, realizamos las extracciones y colocamos implantes con una prótesis fija el mismo día. Recuperó su sonrisa y la confianza de inmediato.
Solicita tu valoración y descubre si eres candidato a cirugía guiada con carga inmediata


*Las imágenes mostradas corresponden a casos reales tratados en nuestra clínica. *Los resultados pueden variar según las características de cada paciente, el diagnóstico y el tratamiento indicado. *Las imágenes de antes y después no constituyen una garantía de resultados. *La colocación de implantes con carga inmediata implica el uso de prótesis provisionales, siendo el tratamiento definitivo realizado en una fase posterior. *La indicación del tratamiento y sus resultados dependen siempre de una valoración clínica individualizada.
